Guided Tissue Regeneration Cost Uk. Gum disease treatments may cost between $500 and $10,000. February 2018 dentalupdate 155 surgicalendodontics surgical root perforation repair with guided tissue regeneration:
London Smile Studio from www.londonsmilestudio.co.uk
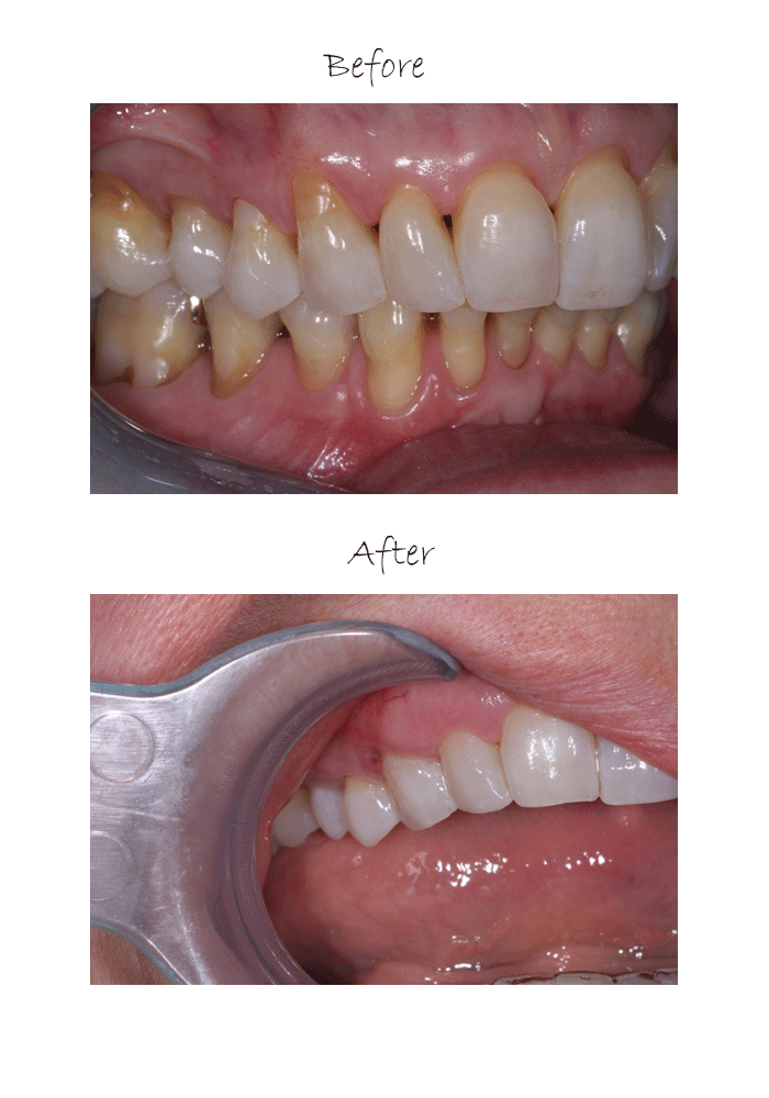
Deposit, rescheduling & cancellation policy; If bacteria is left to settle, it eventually mineralizes, which increases your risk of developing periodontal disease. Guided tissue regeneration (gtr) helps prevent tooth loss due to periodontal disease, as well as reinforces the tissues surrounding teeth.
A Comprehensive Review|Varshney Amitabh Online," And Get High.
Healiguide guided tissue regeneration gtr membrane. Yuen d, junchaya c, zuclich g, ulreich jb, lin h, li s. Mainly focus on market share, distributors, sales, revenue to forecast 2028 tuesday, february 1st 2022, 11:06 pm cst
A Comprehensive Review|Varshney Amitabh Platform—Advancedwriters.com.
In case of autogenous grafts taken from the hip bone, the cost of bone graft can raise well over $2,500 due to the additional costs for hospitalisation, orthopaedic. Oxford ox3 7dq, uk 2marquette university school of dentistry, milwaukee, wi, 53233, us 3school of clinical dentistry, university of sheffield, sheffield, s10 2ta, uk *corresponding author: Notify me when the price drops.
The Most Documented Of These Is Guided Tissue Regeneration (Gtr) And Case Reports Have Shown Healing With The Formation Of New Attachment (Garrett 1996).
Additionally, guided tissue regenerative membranes may be placed over the bone graft to contain and stabilize the graft, and to block the tissue out of the defect while the bone matures. Gum disease treatments may cost between $500 and $10,000. Both enamel matrix derivative (emd) and guided tissue regeneration (gtr) were superior to ofd alone in improving cal (1.27mm;
Scaling And Root Planing Is A Procedure That Removes Accumulated Tartar On Your Teeth Or Below The Gumline (Scaling), Or Removes Tartar Below The Root Line (Planing).
A resorbable, reconstituted, type i collagen membrane for guided tissue regeneration and soft tissue augmentation. The company estimates there are around 2 million periodontal surgical procedures performed annually in the us. Guided bone regeneration typically refers to ridge augmentation or bone.
9, 2021 At 1:12 A.m.
When plaque builds up it can turn into calculus, or tartar, deposits which can cling to the teeth and cause enamel erosion and gum disease. Hua.ye@eng.ox.ac.uk, phone +44 (0)1865 617689 abstract: Seibert providing important post operative instructions after bone regeneration.
Bone Age Hand . Indications bone age radiographs may be indicated for both clinical and non. 2 years to 7 years of age males: Wrist Radiographic Anatomy wikiRadiography Medical from www.pinterest.es Bones during growth period undergo substantial changes in shape and size. Bone age is the degree of maturation of a childs bones. The following illustraions show a series of images from the first zurich longitudinal study (courtesy of.
Hip Bone Spur Removal Surgery Video . Swelling around the hip, groin, and leg resolve usually within a week. Surgical treatment for bone spurs of the hip: Hip excision arthroplasty 15 removal of calcar region from www.vetstream.com Removing hip bone spurs has launched an entire industry: Then the doctor used small tools to remove the piece of bone. In this procedure, a new hip joint socket is created with the healthy part of the bone and then the hip bone is fitted into it and is held by metal pins.
Bone Bruise Skull . This fluid, called cerebrospinal fluid (csf), is normally held closely. Can you bruise your skullskull base fracture. Proper Treatment for a Black Eye from firstaid.about.com I noticed it about 2 years ago and usually did not notice the bruise like pain unless i touched the area. A bone bruise is an injury to a bone that is less severe than a bone fracture. The broken bone is immovable, hence no special treatment is required.
Comments
Post a Comment